MIGLIORA il tuo sorriso con noi

Al Centro Odontoiatrico Marconi, crediamo che un sorriso possa cambiare tutto.

La nostra missione è offrire trattamenti di estetica dentale all'avanguardia per regalarti il sorriso dei tuoi sogni.

Attraverso tecniche innovative e un approccio personalizzato, ci impegniamo a migliorare non solo il tuo sorriso ma anche la fiducia in te stesso.

estetica del sorriso bologna

Il tuo SORRISO IN ANTEPRIMA

Le tecnologie digitali
per scegliere con consapevolezza
il futuro del tuo sorriso

STUDIO del volto

per un sorriso che rispetta le proporzioni

Il nostro studio adotta un approccio innovativo e personalizzato nella creazione di sorrisi naturali, facendo leva sul metodo di studio del volto che rispetta le sacre proporzioni di Fibonacci.

Questo antico principio matematico, noto anche come "la divina proporzione", si ritrova in natura, nell'arte e ora, grazie alla nostra expertise, nell'estetica del sorriso.

Attraverso un'analisi dettagliata del volto, consideriamo ogni aspetto, dalla forma degli occhi alla linea della mascella, per progettare un sorriso che si armonizzi perfettamente con le caratteristiche uniche di ogni individuo.

estetica del sorriso dentista bologna

Questo metodo ci permette di creare risultati esteticamente piacevoli, in perfetto equilibrio con l'intero volto, assicurando che ogni sorriso non solo brilli per bellezza ma si integri in modo naturale con la personalità e l'essenza del paziente.

Il nostro obiettivo è regalare un sorriso che non passi inosservato per la sua autenticità e proporzione, rispecchiando l'armonia intrinseca che possiede ogni volto.

Prestazioni

estetica del sorriso dentista bologna

Come miglioriamo
il tuo sorriso

  • Sbiancamento Dentale

Per un sorriso più bianco e luminoso, utilizziamo metodi delicati ma efficaci, garantendo risultati duraturi.

  • Faccette dentali

Trasforma l'aspetto dei tuoi denti con le nostre facette su misura, progettate per migliorare forma, colore e allineamento.

  • Ortodonzia invisibile

Correggi il tuo allineamento dentale con soluzioni praticamente invisibili, per un trattamento discreto che non interferisce con la tua vita quotidiana.

  • Ricostruzioni estetiche

Ripristiniamo denti danneggiati o deteriorati, restituendo un aspetto naturale e armonioso al tuo sorriso.

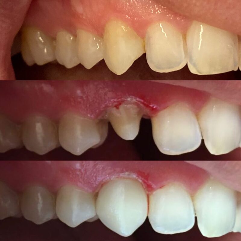
Galleria di Sorrisi

Una selezione di foto prima e dopo dei lavori svolti dal nostro studio,
che testimonia la trasformazione possibile attraverso i nostri trattamenti di estetica dentale.
Lasciati ispirare dai cambiamenti che abbiamo realizzato e immagina cosa possiamo fare per te.

Perchè scegliere il nostro studio dentistico
per l'estetica del sorriso?

Prenota ora la tua visita
Il tuo nuovo sorriso ti aspetta

lo studio di Bologna

INDIRIZZO
Via Aurelio Saffi, 12,
40131 Bologna 

Contattaci allo 051 524236
Whatsapp 350 91 92 162 

ORARI DI APERTURA
dal Lunedì al Venerdì
dalle 15:00 alle 20:00

 

lo studio di Sasso Marconi

INDIRIZZO
Galleria Guglielmo Marconi, 6,
40037 Sasso Marconi (Bologna)

Contattaci allo 051 840002
Whatsapp 350 91 92 162 

ORARI DI APERTURA
dal Lunedì al Venerdì 
dalle 9:00 alle 13:00
Mercoledì dalle 15:00 alle 19:00